logo
Products
Services
Resources
Selection Guides
About
Power Styramide™ Signal Amplification: A Superior Alternative to Tyramide Signal Amplification
Ultra-Sensitive Detection: High-Resolution Imaging of Low-Abundant Targets

Targets of functional importance such as transcription factors, integral membrane proteins and cell-surface cytokine receptors have endogenous expression levels far below the detection capabilities of labeled antibodies. Not only does the abundance of these targets vary by several orders of magnitude, but their spatiotemporal organization within the cell is dynamic making it challenging to visualize. AAT Bioquest's novel Power Styramide™ Signal Amplification (PSA™) system provides an ultra-sensitive method for detecting low-abundance targets in immunocytochemistry (ICC), immunohistochemistry (IHC), and in situ hybridization (ISH) applications. PSA™ imaging technology combines the superior brightness and photostability of iFluor® dyes with HRP"mediated Styramide™ signal amplification to generate fluorscence signals with significantly higher precision and sensitvity, more than 100 times greater than standard ICC/IHC/ISH methods and up to 50 times greater than traditional tyramide signal amplification techniques (Figure 1).
Fig. 1
Fluorescence IHC
Fluorescence IHC in formaldehyde-fixed paraffin-embedded tissue. Human lung adenocarcinoma sections were incubated with Rabbit mAb EpCAM and its isotype Rabbit IgG control at the same concentration. Tissue sections were then stained with a HRP-labeled Goat anti-Rabbit IgG secondary antibody followed by iFluor® 555 Styramide™ (Left) or Alexa Fluor® 555 tyramide (Right), respectively. Fluorescence images were taken using the TRITC filter set and analyzed with the same exposure time. Data show that Styramide™ super signal amplification can increase the sensitivity of fluorescence IHC over tyramide amplification method. Cell nucleus was stained with Nuclear Blue™ DCS1 (Catalog Number 17548).
Similar to tyramide signal amplification, PSA™ labeling utilizes an enzyme-mediated detection method that harnesses the catalytic activity of horseradish peroxidase (HRP) to generate high-density labeling of iFluor®dye-Styramide™ conjugates onto a target protein or nucleic acid sequence in situ. In the first step of this process, a probe, such as a primary antibody or nucleic acid sequence, binds to the target via immunoaffinity or hybridization, respectively. This initial complex is then detected with an HRP-labeled secondary antibody or HRP-streptavidin conjugate (if a biotinylated primary antibody was used in the initial detection of the target). Next, multiple copies of a labeled Styramide™, such as iFluor® 488 Styramide™ or iFluor® 555 Styramide™, are activated by enzymatic reaction with HRP. Lastly, the highly reactive, short-lived Styramide™ radicals covalently couple with tyrosine residues proximal to the HRP"target interaction site, resulting in minimal diffusion-related loss of signal localization (Figure 2). Any unbound labeled Styramide™ radicals quickly dimerize, and are washed away to eliminate background.
PSA™ Workflow
Fig. 2
Workflow
Workflow for Power Styramide™ Signal Amplification (PSA™). With workflow similar to conventional ICC and IHC methods, PSA™ kits and Styramide™ reagents can achieve sensitive detection of desired targets in a few simple steps.
  1. Fix, permeabilize and block cells or tissue sample. Incubate sample with unlabeled primary antibody, biotinylated primary antibody or biotinylated nucleic acid probe.
  2. Add HRP-secondary antibody or HRP-streptavidin conjugate.
  3. Add iFluor® dye Styramide™ working solution, allow for HRP-catalyzed deposition of Styramide™.
  4. Mount sample and detect Signal.
PSA™ Imaging - Greater Sensitivity for Low-Abundance Targets

The Styramide™ signal amplification technique used in our PSA™ Imaging kits utilizes the catalytic activity of HRP for the covalent deposition of labeled Styramide™ proximal to the target of interest. The enhanced sensitivity of the PSA™ Imaging kits over conventional immunofluorescence methods using fluorescently labeled antibodies or other tyramide signal amplification technologies is in part due to improvements in the reagents for each amplification step. Figure 1 shows an example of the improved sensitivity of Styramide™ signal amplification to detect EpCam in human lung adenocarcinoma in comparison to conventional tyramide labeling.
The PSA™ Imaging kits enhance the specific fluorescence signal by utilizing iFluor® dye labeled Styramide™ conjugates, which react with HRP to covalently deposit brightly fluorescent and photostable iFluor® dye Styramides™ on tyrosine residues and other similar molecules in close proximity. Furthermore, Styramide™ radicals have a significantly higher reactivity than traditional tyramide radicals making PSA™ labeling abundantly faster, more robust and sensitive than traditional tyramide signal amplification systems (Figure 3).
Fig. 3
PSA stability graph;PSA photostability in HeLa cells
Sensitivity of Power Styramide™ Signal Amplification (PSA™) Kits. HeLa cells were fixed, permeabilized and labeled with various concentrations of rabbit anti-tubulin primary antibody. The manufacturer recommendation was 1:500 dilution or 2 µg/ml. Cells were then stained with reagents in our iFluor® 488 PSA™ Imaging Kit with Goat Anti-Rabbit IgG, an Alexa Fluor® 488-labeled tyramide or an Alexa Fluor® 488-labeled goat anti-rabbit IgG. Cell images were captured from each treatment under the same conditions (using a FITC filter set and analyzed with the same exposure time). Relative fluorescence signal intensity was measured and compared between different detection methods.
PSA™ Imaging kits also employ several strategies to maximize convenience and performance. First, Styramide™ conjugates allow for significantly less consumption of primary antibody compared to coventional immunofluorescence techniques to acheive sensitive detection of low-abundance target molecules. Even with much less primary antibody, PSA™ technology provide detection sensitivities similar to or greater than those obtained using a fluorescently labeled secondary antibody or tyramide signal amplification in an ICC application (Figure 3). Using fewer antibodies per experiment will save on the cost of primary antibodies, a major expense in ICC and IHC workflows. Also, more experiments can be accomplished using a single vial of primary antibody. Given that some primary antibodies show significant lot-to-lot variation, using a single lot throughout a project can produce more reliable results that are consistent from experiment to experiment. Second, these kits contain highly cross-adsorbed secondary antibodies to help ensure specificity for the target primary antibody with minimal cross-reactivity with other antibody species. For example, HRP"conjugated goat anti"mouse IgG exhibits no detectable reactivity to mouse proteins or IgG derived from other species such as goat, bovine, human, or rat. Lastly, PSA™ Imaging kits include a robust labeling protocol with all the necessary reagents to perform 100 tests.
PSA™ amplification is multiplexable

The PSA™ Imaging kits are available with five spectrally distinct iFluor® dye Styramide™ conjugates and two different HRP secondary reagents (Table 1). Additionally, there are eleven stand-alone iFluor® dye Styramide™ conjugates spanning the UV to NIR for further flexibility in designing multi-parametric applications (Table 2). This range of choices allows high-resolution detection and visualization of multiple signals in a single cell or tissue sample. In addition to multiplex detection using primary antibodies from different species (Figures 4), PSA™ imaging is also compatible with experiments using GFP and RFP fusions as reporters of gene expression.
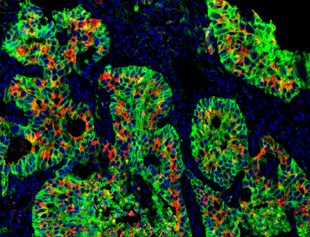
Fig. 4
Sequential immunostaining
Sequential immunostaining of formaldehyde-fixed, paraffin-embedded human lung adenocarcinoma using two iFluor® PSA™ Imaging kits. EpCam were labeled with rabbit anti-EpCam antibodies and iFluor® 488 PSA™ Imaging Kit with goat anti-rabbit IgG (Catalog Number 45205), followed by washing. Pan-Keratin were labeled with mouse anti-pan Keratin antibodies and iFluor® 555 PSA™ Imaging Kit with goat anti-mouse IgG (Catalog Number 45270). Nuclei were labeled with DAPI (Catalog Number 17513). Images were acquired on a confocal microscope.

This document (03.0131.191001r1) was last updated on Wed Oct 29 2025. All trademarks and registered trademarks mentioned herein are the property of their respective owners.